| |
|
 | | time | views | |
 | Japanese firm offers artificial shooting stars - TomoNews | 7:30 | 7,335 | |
 | How to avoid getting sick on an airplane? Get in a window seat and don't get up - TomoNews | 6:38 | 4,954 | |
 | New Jersey man's beer belly is actually a tumor - TomoNews | 5:39 | 11,768 | |
 | Mom finds epidural needle in spine 14 years after C-section - TomoNews | 5:14 | 15,299 | |
 | Scientists plan to revive the northern white rhino; Rhino gives birth to second calf - Compilation | 9:42 | 8,917 | |
 | Woman destroys art while attempting to take a selfie; Tourist ridiculous selfie - Compilation | 11:59 | 6,328 | |
 | Hypersonic weapons: US not ready for Russia and China threat - TomoNews | 4:30 | 9,095 | |
 | Woman takes selfie while driving, crashes car; Motorist drives across frozen river - Compilation | 11:20 | 10,822 | |
 | Ronaldo bust: Ronaldo sculptor gets a do-over - TomoNews | 5:14 | 9,357 | |
 | Fake cop busted; costco bandits caught red handed - 03/29/2018 | 6:59 | 3,511 | |
 | Chinese space station Tiangong-1 falling to Earth this weekend - TomoNews | 6:33 | 10,857 | |
 | Facebook logged SMS texts and phone calls - TomoNews | 4:52 | 2,915 | |
 | 150 million MyFitnessPal user accounts exposed in data hack - TomoNews | 4:42 | 3,102 | |
 | Super clap: UK man has world's worst case of gonorrhea - TomoNews | 5:60 | 16,315 | |
 | Cop gets hit by car: Utah trooper survives vehicle impact - TomoNews | 4:36 | 24,613 | |
 | Cops catch thieves: Officer nab Costco bandits mid-heist - TomoNews | 3:52 | 11,607 | |
 | Man uses bug spray on cockroach stuck in his ear; Roach pulled out of woman’s nose - Compilation | 11:52 | 29,837 | |
 | Fake cop gets arrested: Faux U.S. Marshal busted - TomoNews | 5:18 | 6,305 | |
 | Cops save baby girl: Officers save choking infant - TomoNews | 6:40 | 6,652 | |
 | You’ve got mail: Thief steals package, found dog feces; The worst UPS driver ever - Compilation | 10:21 | 14,228 | |
 | IKEA experiments with meatballs made of mealworms - TomoNews | 5:33 | 5,965 | |
 | No more swearing for you on Xbox; flu season ain’t over yet - 03/28/2018 | 5:70 | 4,186 | |
 | Archaeologists find 81 lost settlements in Amazon - TomoNews | 8:10 | 5,617 | |
 | North Korea is firing up a new nuclear reactor - TomoNews | 5:22 | 13,884 | |
 | Giant mountain captured after prowling around California neighborhood - TomoNews | 5:40 | 5,891 | |
 | White House security: President Trump’s new car ‘Cadillac One’; White House intruders - Compilation | 13:10 | 9,142 | |
 | Xbox ban for cursing: Microsoft can ban players for offensive language - TomoNews | 5:29 | 13,995 | |
 | Little Kim’s train visit to China; CIA and US military receive strange powder delivery - 03/27/2018 | 2:51 | 6,691 | |
 | New human organ found: Meet the interstitium, it could be your newest and biggest organ - TomoNews | 4:49 | 75,918 | |
 | South Sea Fleet: China shows off massive fleet in South China Sea naval exercises - TomoNews | 5:48 | 7,840 | |
 | Flu season: Influenza-A declining, but Influenza-B virus on the rise, warns CDC - TomoNews | 4:55 | 3,539 | |
 | Russia gets set for 2018 FIFA World Cup; Referees to use smartwatch - Compilation | 9:41 | 4,969 | |
 | Flat Maltesers?! Mars set to turn malted chocolate balls into depressing flat buttons - TomoNews | 4:26 | 7,494 | |
 | Flat-Earther blasts rocket off; man attacks Mcdees after 60-burger rejection - 03/26/2018 | 4:55 | 5,567 | |
 | Kim Jong Un's train makes surprise visit to Beijing - TomoNews | 4:46 | 20,204 | |
 | Suspicious powder in mail: CIA, military buildings receive suspicious packages- TomoNews | 4:24 | 10,693 | |
 | Military tech: The invisible tank PL-01 unveiled; Super-human strength armor suit - Compilation | 12:13 | 43,232 | |
 | Trump and Biden getting catty on Twitter; Potential risks at 2018 FIFA World Cup - 03/23/2018 | 5:70 | 2,576 | |
 | Bumped from flight: United passenger gets $10,000 travel voucher for $163 ticket - TomoNews | 5:30 | 7,396 | |
 | Chinese bus catches fire, half the country pours out of it - TomoNews | 5:23 | 17,469 | |
 | Man vs McDonald's arches: Man goes mad on golden arches after order is denied - TomoNews | 6:56 | 25,679 | |
 | Flat Earther blasts off in rocket to prove Earth is flat, fails - TomoNews | 6:39 | 133,038 | |
 | Cryptocurrency madness: Stories about digital currencies and blockchain technology - Compilation | 14:90 | 4,883 | |
 | World Cup 2018: Referees to use smartwatch - TomoNews | 6:24 | 5,097 | |
 | Lazy workers: Cop asleep inside police car caught on tape; UPS driver throws package - Compilation | 8:51 | 20,497 | |
 | How to protect personal data from Facebook; Facebook facial recognition - Compilation | 11:38 | 3,397 | |
 | Cryptotheft: How to protect your cryptocurrency against digital thieves - TomoNews | 4:28 | 3,288 | |
 | Potential risks at the 2018 FIFA World Cup in Russia, security measures tightened - TomoNews | 6:80 | 7,285 | |
 | Strange space sounds: Astronomers record strongest ever space radio burst - TomoNews | 4:41 | 6,640 | |
 | Data cables down: If Russia attacks deep sea data cables, what happens next? - TomoNews | 4:29 | 6,207 | |
 | Overwork: Music drone to play Auld Lang Syne to workers to leave; Overworking in Asia - Compilation | 8:26 | 9,344 | |
 | Tallest wooden building planned for construction in Tokyo; Man-made meteor shower - Compilation | 10:26 | 5,634 | |
 | Dead zone: Gulf of Mexico dead zone to take decades to clear up due to 'legacy' nitrogen - TomoNews | 6:38 | 6,925 | |
 | Trump v Biden fight: President Trump and Biden have claws out, getting catty - TomoNews | 1:10 | 1,327 | |
 | Space weapons? Space Drone that extends life of old satellites could double as a weapon - TomoNews | 5:12 | 2,617 | |
 | Surgery gone wrong: Brain surgeon operates on wrong patient; Woman’s face bloated - Compilation | 11:12 | 3,430 | |
 | How to protect your cryptocurrency against digital thieves; Facebook data misuse - 03/22/2018 | 3:31 | 916 | |
 | Movie theaters accident: Man gets head stuck in movie theater seat - TomoNews | 4:12 | 4,993 | |
 | Military tech: China testing unmanned tank as part of military modernization program - TomoNews | 7:45 | 3,725 | |
 | Feminists slam ‘offensive’ shirt worn by scientist; Winnie the Pooh banned in China - Compilation | 20:57 | 3,551 | |
 | War games: US, South Korea push through with annual military drills that anger NoKor - TomoNews | 7:37 | 9,977 | |
 | Obese pregnant woman and her 2-inch-thick fat; China limits travel for its people - 03/21/2018 | 4:26 | 4,552 | |
 | Facebook data misuse: Protect your personal data without deleting account - TomoNews | 5:12 | 5,093 | |
 | Pregnant Chinese woman shocks doctors with 2-inch-thick body fat - TomoNews | 5:10 | 22,581 | |
 | Obesity: Fat tigers in Chinese zoo; Insecure man stuffs girlfriend to double her size - Compilation | 11:40 | 20,564 | |
 | China social credit: No flights or trains for people with bad social credit in China - TomoNews | 5:00 | 7,524 | |
 | Austin bombings: Unexploded device at FedEx facility could lead to clues - TomoNews | 1:23 | 5,985 | |
 | NASA plans to nuke asteroid; Facebook in trouble for Cambridge Analytica misuse - 03/20/2018 | 3:21 | 6,283 | |
 | Save the rhino: Scientists plan to revive the northern white rhino subspecies with IVF - TomoNews | 6:22 | 4,921 | |
 | Uber halts autonomous car tests after fatal crash in Tempe - TomoNews | 4:46 | 9,658 | |
 | Doomsday apocalypse: NASA plans to use nukes to blow up asteroid Bennu and save Earth - TomoNews | 5:10 | 19,908 | |
 | United keeps sending dogs to the wrong place; Southwest kicks family off flight - 03/19/2018 | 5:23 | 5,503 | |
 | Facebook data misuse: Cambridge Analytica harvested 50 million FB profiles - TomoNews | 5:00 | 3,263 | |
 | Oklahoma to off prisoners via hypoxia using nitrogen gas - TomoNews | 1:17 | 16,026 | |
 | Legless California girl defies modelling perception - TomoNews | 6:13 | 5,267 | |
 | Twins no longer identical after a year in space; crazy girlfriend and samurai sword- 03/16/2018 | 5:28 | 9,843 | |
 | United puts dog on wrong plane, mistake adds two hours to flight - TomoNews | 4:56 | 12,028 | |
 | Weird time crystal studies funded by US Department of Defense - TomoNews | 4:56 | 4,084 | |
 | Lunar Orbital Platform Gateway: NASA wants a space station near the moon - TomoNews | 5:37 | 5,124 | |
 | Propeller hits woman in head during emergency landing; Landing gear collapse - Compilation | 13:24 | 27,871 | |
 | Skateboarding fail: Dad pushes son down 15' high half-pipe; Science project gone wrong - Compilation | 8:31 | 10,833 | |
 | Ford steering wheel recall: Carmaker recalls 1.4 mil cars for loose steering wheels - TomoNews | 5:00 | 6,444 | |
 | Drive by shooting prank gone wrong; Sequoyah seniors trash school - Compilation | 14:25 | 45,671 | |
 | Horrible bosses: Trainee cop Amanda Holley fired because she is too good-looking - Compilation | 11:58 | 13,014 | |
 | Virgin unveils Hyperloop One passenger pod in Dubai; Maryland Hyperloop project - Compilation | 8:40 | 21,177 | |
 | 3D printed house: Texas startup unveils 3D-printed house built in less than 24 hours - TomoNews | 4:24 | 10,498 | |
 | Ice crystals in diamond reveal water may exist deep in Earth's surface - TomoNews | 5:26 | 12,122 | |
 | Flying car: Cora, backed by Google co-founder Larry Page, approved for trials in N.Z. - TomoNews | 5:12 | 4,963 | |
 | Clean energy: Nuclear fusion power plant will generate electricity in 15 years, says MIT - TomoNews | 6:38 | 5,359 | |
 | Meteor fireball falls from sky in Bangkok; Giant asteroid may hit Earth in 2880 - Compilation | 11:13 | 25,680 | |
 | Fake doors: Fake emergency exits in China; Fake US embassy in Ghana - Compilation | 12:26 | 13,100 | |
 | Ex twins: Identical NASA twins no longer identical after one spends year in space - TomoNews | 5:59 | 6,435 | |
 | Toys R Us is going out of business; Chinese reporter’s epic eye-roll censored by China - 03/15/2018 | 5:33 | 7,976 | |
 | Crazy girlfriend: Woman suspects boyfriend of cheating, attacks him with samurai sword - TomoNews | 5:30 | 7,004 | |
 | Incomplete bridge collapses at Florida International University in Miami - TomoNews | 5:12 | 6,535 | |
 | Stories about Stephen Hawking on TomoNews - Compilation | 5:43 | 7,468 | |
 | Pets on planes: United Airlines mistakenly flies Kansas-bound family dog to Japan - TomoNews | 6:46 | 10,379 | |
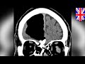
 | Doctors find air pocket in man's brain - TomoNews | 5:44 | 31,098 | |
 | Male lion fights huge crocodile; Crocodile caught on camera snapping up smaller shark - Compilation | 10:47 | 9,236 | |
 | How tickets and Fan ID will work at the 2018 FIFA World Cup in Russia - TomoNews | 5:13 | 2,626 | |
|
|
|